Prótesis dentales

Las prótesis dentales permiten restaurar la función masticatoria, la estética y la fonación en pacientes que han perdido uno o varios dientes. En nuestra clínica diseñamos y personalizamos cada prótesis para garantizar máxima comodidad, estabilidad y naturalidad.

Utilizamos materiales de última generación para lograr resultados altamente estéticos y funcionales, ofreciendo soluciones adaptadas a las necesidades de cada paciente, ya sea con prótesis removibles, fijas o implantosoportadas.

Tipos de prótesis dentales

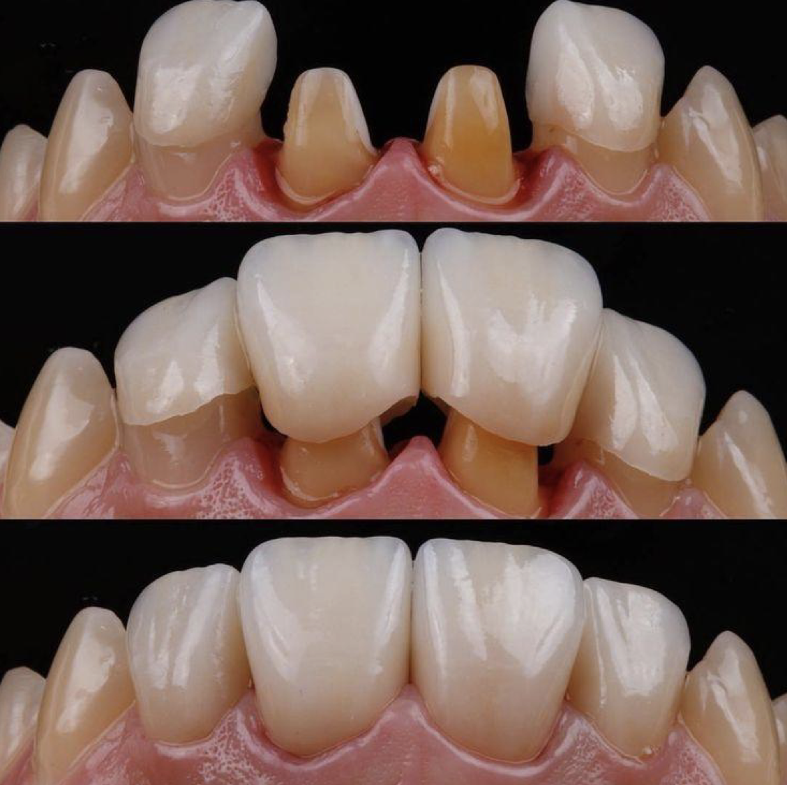
Prótesis fija sobre dientes naturales

Se utilizan cuando el paciente aún conserva dientes naturales. Se cementan sobre las piezas dentales previamente preparadas y no pueden ser retiradas por el paciente. Dentro de esta categoría encontramos:

  • Coronas dentales: Restauraciones individuales que cubren un diente dañado , devolviendo su, función y estética.
  • Puentes dentales: Estructuras que reemplazan uno o más dientes ausentes, apoyándose en los dientes naturales adyacentes.

Prótesis removibles

Son una alternativa en casos donde no es posible colocar implantes o prótesis fijas. Pueden ser retiradas por el paciente para su limpieza y mantenimiento. Se dividen en:

  • Prótesis parciales removibles: Indicadas cuando el paciente conserva algunos dientes naturales. Se sujetan mediante ganchos metálicos o sistemas de anclaje estéticos.
  • Prótesis completas removibles: Reemplazan todos los dientes de una arcada. Se fabrican con materiales de alta calidad para ofrecer un ajuste cómodo y una apariencia natural.

Prótesis implantosoportadas

Las prótesis implantosoportadas son una solución fija y estable para reemplazar dientes perdidos. Se fijan sobre implantes y pueden ser:

Fijas: Atornilladas o cementadas, con máxima funcionalidad.
Sobredentaduras: Removibles, sujetas con anclajes.
Híbridas: Combinan fijación con una base de resina que imita la encía.

Ventajas de nuestras prótesis dentales

  • Materiales de alta calidad para una mayor durabilidad.
  • Diseñadas a medida para un ajuste preciso y natural.
  • Máxima comodidad y estabilidad.
  • Restauración de la función masticatoria y fonética.
  • Mejora en la estética facial y la confianza del paciente.