Periodoncia

La periodoncia es la especialidad odontológica que se encarga de prevenir,diagnosticar y tratar las enfermedades que afectan las encías y los tejidos desoporte de los dientes. La enfermedad periodontal no solo compromete la salud bucal, sino que también puede influir en la salud general, aumentando el riesgo de problemas cardiovasculares y metabólicos.

En nuestra clínica ofrecemos tratamientos periodontales avanzados para combatir la gingivitis y la periodontitis, evitando la pérdida dental y mejorando la calidad de vida de nuestros pacientes.

Principales tratamientos periodontales

Limpieza profunda (Raspado y alisado radicular)

Cuando el sarro y la placa bacteriana se acumulan bajo las encías, se forma una infección que destruye el hueso y los tejidos de soporte del diente. Con este tratamiento eliminamos las bacterias en profundidad, alisando la superficie radicular para prevenir la reinfección.

Cirugía periodontal regenerativa

Cuando la enfermedad periodontal ha causado la pérdida de hueso, utilizamos técnicas de regeneración ósea guiada para estimular el crecimiento del tejido perdido, fortaleciendo la estructura de soporte de los dientes.

Injertos de encía

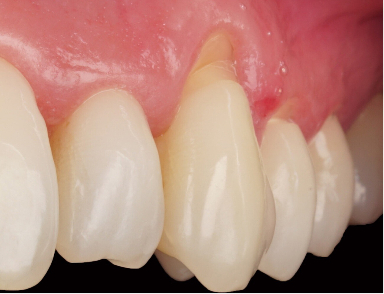
La recesión gingival expone las raíces dentales, causando sensibilidad, mayor riesgo de caries y afectando la estética de la sonrisa. Mediante injertos de encía, recuperamos el volumen y grosor del tejido gingival, protegiendo los dientes y mejorando la armonía facial.

Cirugía de alargamiento coronario

Este procedimiento consiste en remodelar el contorno de la encía y, en algunos casos, el hueso subyacente para exponer más superficie dental. Se realiza por razones estéticas en casos de sonrisa gingival o para facilitar la colocación de coronas y restauraciones dentales.

Mantenimiento periodontal

Tras un tratamiento periodontal, es fundamental realizar revisiones periódicas para evitar la reaparición de la enfermedad. Ofrecemos planes personalizados de mantenimiento para preservar la salud de tus encías a largo plazo.

Tratamiento para halitosis (mal aliento)

Muchas veces, la halitosis crónica es consecuencia de la acumulación de bacterias en las encías y bolsas periodontales. Con una limpieza profunda y la eliminación de focos infecciosos, ayudamos a mejorar el aliento y la salud bucal.

Ventajas del tratamiento periodontal

  • Evita la pérdida dental y preserva la estructura ósea.
  • Reduce la sensibilidad y el dolor causado por encías retraídas.
  • Previene enfermedades sistémicas relacionadas con infecciones orales.
  • Mejora la estética de la sonrisa y la confianza del paciente.
  • Elimina el mal aliento asociado a la acumulación de bacterias.